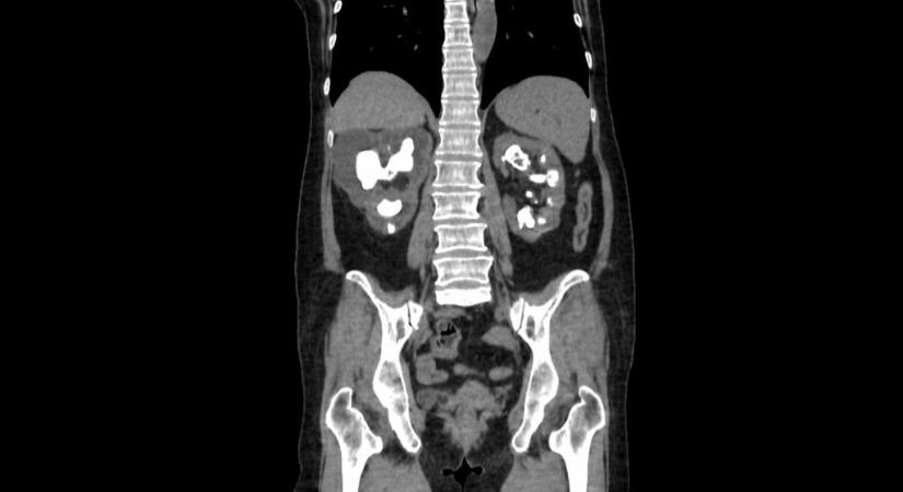
Egy új módszer mikroméretű robotokkal semmisíti meg a vesekövet
A robotok milliméter méretű, zselatin alapú polimercsíkokból készülnek és mágnesrendszer segítségével jutnak el a célpontig.
- Hirdetés -
- Hirdetés -
A robotok milliméter méretű, zselatin alapú polimercsíkokból készülnek és mágnesrendszer segítségével jutnak el a célpontig.
- Hirdetés -