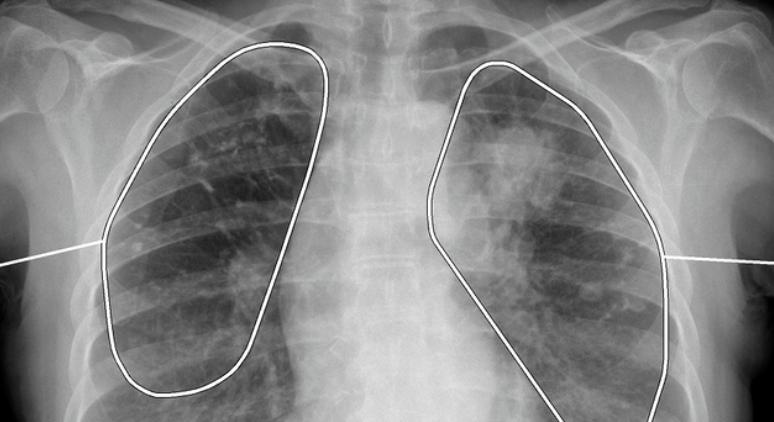
Megrázó felfedezés: az e-cigisek sem ússzák meg
Egy átfogó elemzés több mint száz kutatás alapján arra figyelmeztet: az e-cigaretták is rákkeltők lehetnek. A szakemberek szerint az állati és emberkísérletek egy irányba mutatnak, és a korai jelek már most elég erősek ahhoz, hogy a döntéshozók ne ismételjék meg a dohányzás történelmi tévedését. Erősödő jelzések a laborokból A friss áttekintés 2017 óta publikált kutatásokat gyűjtött össze,...
- Hirdetés -
