Kiderült, milyen sikerességi rátával dolgoznak a magyarországi lombikklinikák

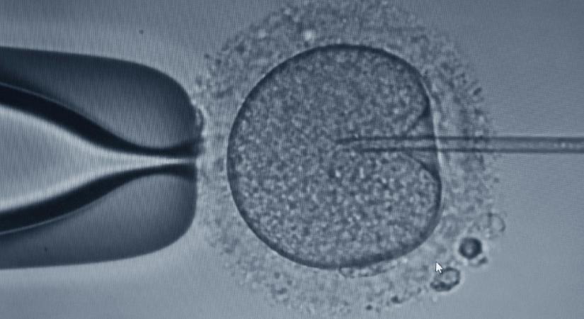
Évekig nem lehetett tudni, mennyi esélye van a meddőségi problémákkal küzdő pároknak Magyarországon, ha lombikkezelésbe vágnak. Az állami Humánreprodukciós Igazgatóság most először tett közzé hivatalos, ellenőrzött adatokból készített jelentést a 2024-es számokról. Abban az évben 26,4 százalék volt a sikerességi ráta. Az igazgatóság szerint az eredmények javításához hosszú távon szükség lesz a petesejt-donáció engedélyezésére.

Kiderült, milyen sikerességi rátával dolgoznak a magyarországi lombikklinikák

Hamarosan átirányítunk a teljes cikkhez → HVG - Itthon

Ha nem irányítanánk át automatikusan, kattints ide!