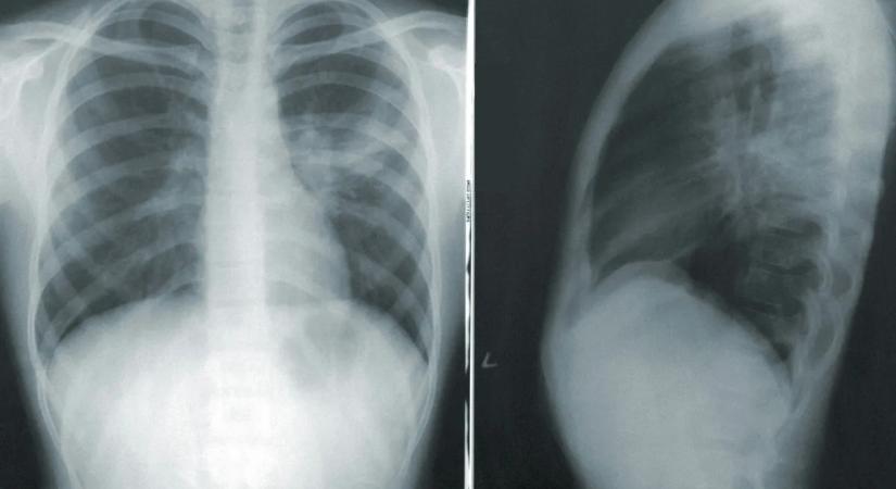
"Állandóan szorongtam és fáradt voltam... a zsúfolt életemet hibáztattam, de egy sokkal baljósabb betegségről volt szó"

Diagnózisa gyökeresen megváltoztatta az életét.

"Állandóan szorongtam és fáradt voltam... a zsúfolt életemet hibáztattam, de egy sokkal baljósabb betegségről volt szó"

Hamarosan átirányítunk a teljes cikkhez → Borsonline - Aktuális

Ha nem irányítanánk át automatikusan, kattints ide!