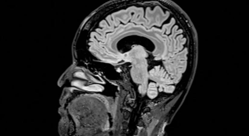
Korszakai vannak az agyunknak, és a felnőttkort 30 év alatt el sem éri

Egy friss kutatás szerint az agyi fejlődés öt különböző érába sorolható, és mindegyikben más változások a legjellemzőbbek.

Korszakai vannak az agyunknak, és a felnőttkort 30 év alatt el sem éri

Hamarosan átirányítunk a teljes cikkhez → Telex

Ha nem irányítanánk át automatikusan, kattints ide!