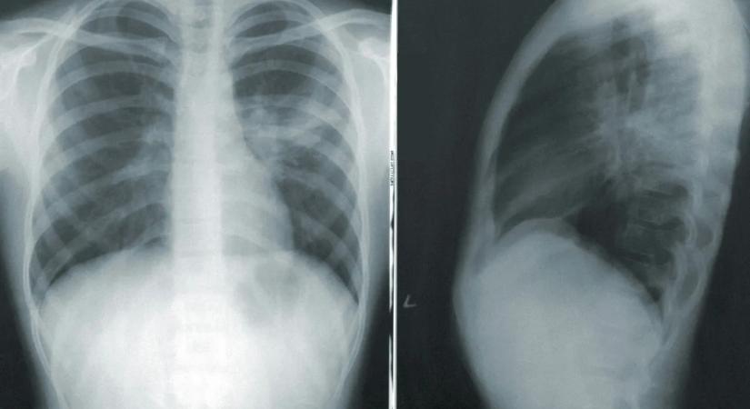
„Arra gondoltam, meg fogok halni” – soha életében nem dohányzott egy nő, mégis rákot találtak a tüdejében

Eleinte a diagnózisra úgy tekintett mint halálos ítéletre.

„Arra gondoltam, meg fogok halni” – soha életében nem dohányzott egy nő, mégis rákot találtak a tüdejében

Hamarosan átirányítunk a teljes cikkhez → Borsonline - Aktuális

Ha nem irányítanánk át automatikusan, kattints ide!