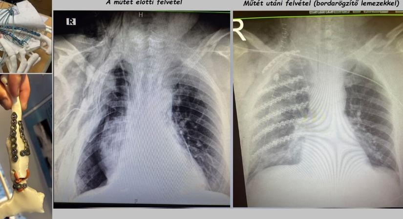
Világszínvonalon látják el a mellkasi sérülteket a győri kórházban

Egy baleset résztvevőjének lenni – függetlenül attól, hogy kisebb vagy súlyosabb sérülés történik – mindig megterhelő élmény...

Világszínvonalon látják el a mellkasi sérülteket a győri kórházban

Hamarosan átirányítunk a teljes cikkhez → Kisalföld

Ha nem irányítanánk át automatikusan, kattints ide!