Megvan a vitamin, ami legyőzheti a leghalálosabb agydaganatot

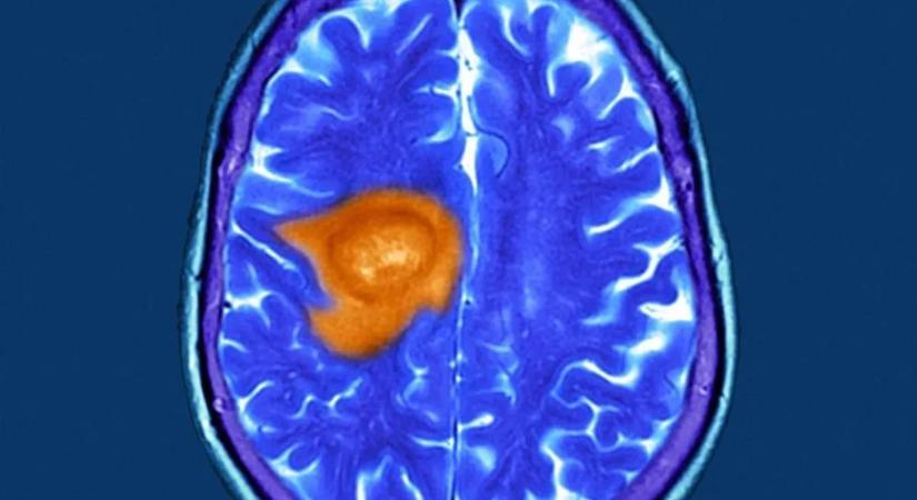
A glioblasztóma napjaink egyik legfélelmetesebb és legagresszívabb agydaganat típusa.

Megvan a vitamin, ami legyőzheti a leghalálosabb agydaganatot

Hamarosan átirányítunk a teljes cikkhez → Kárpátinfo

Ha nem irányítanánk át automatikusan, kattints ide!