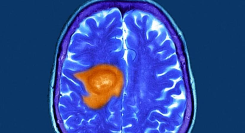
Megvan a vitamin, ami legyőzheti a leghalálosabb agydaganatot

Új Remény a glioblasztómás betegeknek.

Megvan a vitamin, ami legyőzheti a leghalálosabb agydaganatot

Hamarosan átirányítunk a teljes cikkhez → Origo - Tudomány

Ha nem irányítanánk át automatikusan, kattints ide!