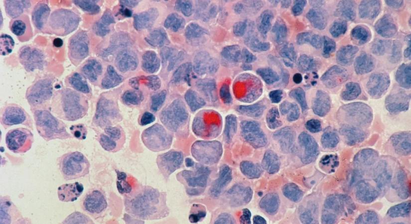
Újra lecsaphat a világ egyik leghalálosabb betegsége

Szakértők figyelmeztetnek a veszélyre.

Újra lecsaphat a világ egyik leghalálosabb betegsége

Hamarosan átirányítunk a teljes cikkhez → Origo - Külföld

Ha nem irányítanánk át automatikusan, kattints ide!